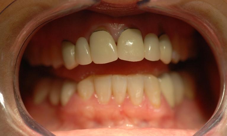
Dental Crowns
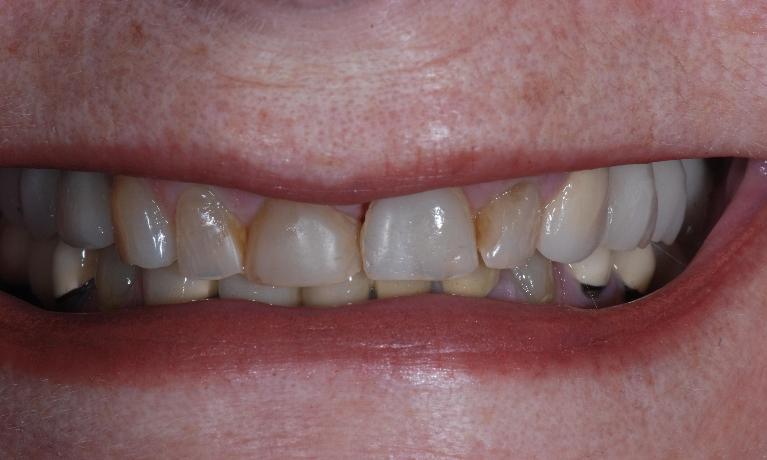
If a tooth becomes damaged, has deep decay, or is a candidate for root canal treatment, protecting it with a dental crown will protect the tooth from pressure due to chewing and may prolong the life of your tooth. At McKnight Signature Dental, we offer three types of ceramic crowns depending on the needs of our patient and crown location.
Zirconia and all-porcelain crowns provide the most esthetic results for front teeth and play an integral role in cosmetic dentistry in our Leawood, KS dental office. 
For posterior (back) teeth, Zirconia crowns improve durability and longevity for the teeth that take on most of the force from chewing.
Gentle Dental Crown Treatment
Our dentists, Dr. Abbie McKnight and Dr. Megan Konz, make patient comfort a priority. Their kind natures and gentle care make it easy for patients to choose to proceed with their dental treatment without fear or anxiety.
Dental crowns require us to reshape the tooth to make space for the crown to fit directly over the top of the tooth structure. Sometimes called caps, dental crowns fit over the tooth like a protective helmet to reinforce the structure and replace the tooth’s enamel.
After preparing the tooth, we will place a temporary crown over the tooth to keep it clean, bacteria-free, and to reduce sensitivity while our trusted local dental lab designs a custom dental crown to complete your smile.
 Other Uses for Dental Crowns
Other Uses for Dental Crowns
- We can place a single crown for a damaged tooth or use multiple crowns in a full smile makeover to add length and comfort to a worn smile.
- Dental crowns also improve the shape and color of teeth that look out of place.
- Two specialty dental crowns may also be placed to suspend an artificial tooth in place for a dental bridge.
- Dental crowns also restore dental implants for the longest lasting solution to missing teeth.
Dental crowns have the same natural shading and appearance as your teeth. Your dentists use modern materials and skilled technicians to ensure that you have a restoration that provides comfort, function, and beauty.
Do You Have a Broken or Damaged Tooth?
We welcome new patients to McKnight Signature Dental. Our dentists and team are dedicated to helping patients achieve smiles that make them feel confident in their health and appearance.
Many of our patients come from Leawood, Overland Park, Kansas City, MO and surrounding areas. We look forward to treating you like a member of our family.
 
 
 
