McKnight Signature Dental
Boutique-Style Dentistry in Leawood, KS

Smile Gallery

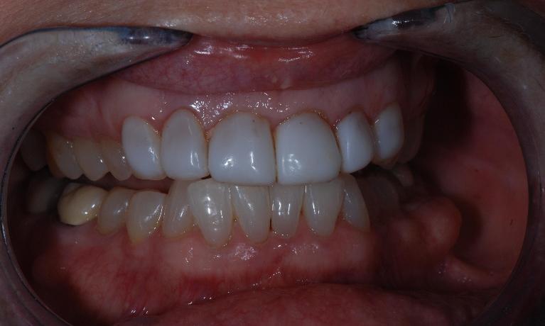
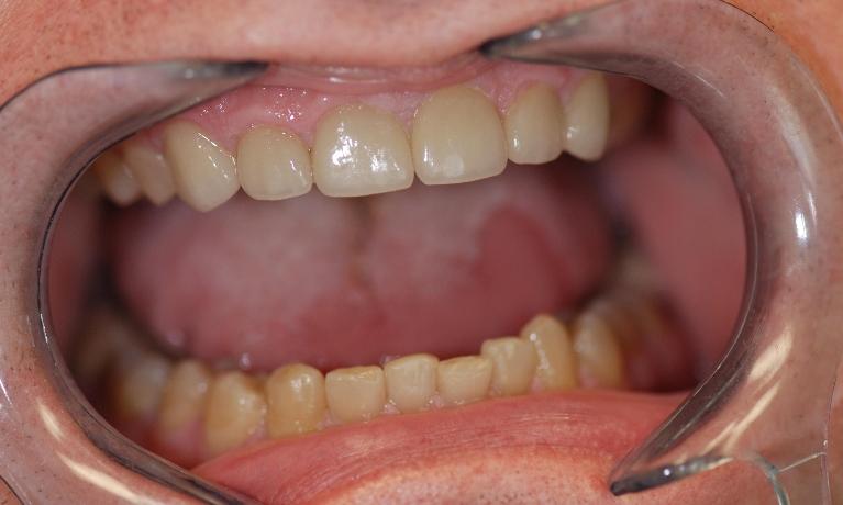
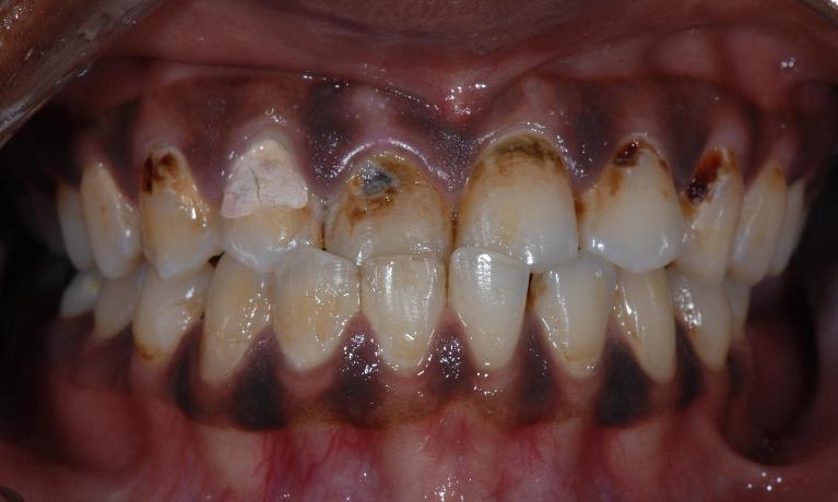
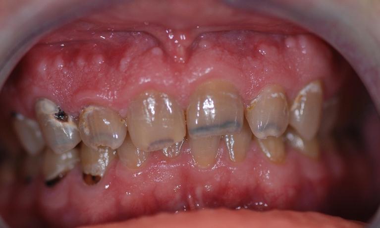
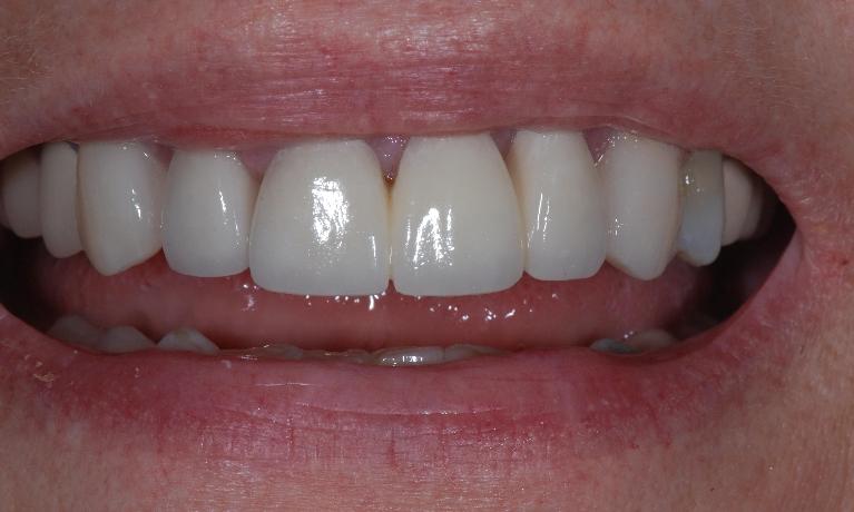
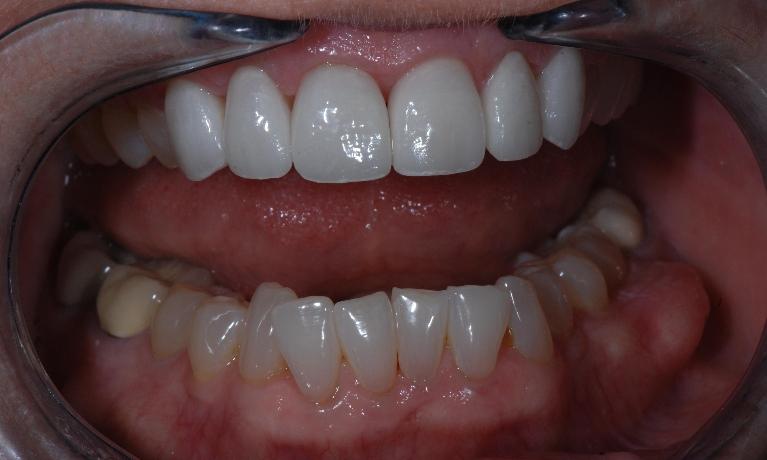
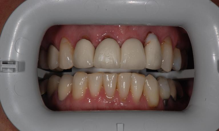
Our before and after photos speak for themselves. Anything is possible with modern dentistry, even for smiles that have had trauma or have broken down. Modern tooth-colored dentistry restores both the comfort and beauty of your smile without unsightly metal components.

Take a moment to browse through our actual patient photos. To learn the possibilities for your own smile, give us a call for a consultation.

Getting an appointment is fast and easy!
Smile Gallery Categories
She is super thorough, professional and kind.

I have gone to Dr. McKnight for a few years and cannot recommend her enough! She is super thorough, professional and kind. Love that she takes time to go over your oral history in detail before you even get in the chair. Highly recommend!!!

-Liron

If you have difficulty using our website, please email us or call us at (913) 948-9710
View the ADA Accessibility Statement