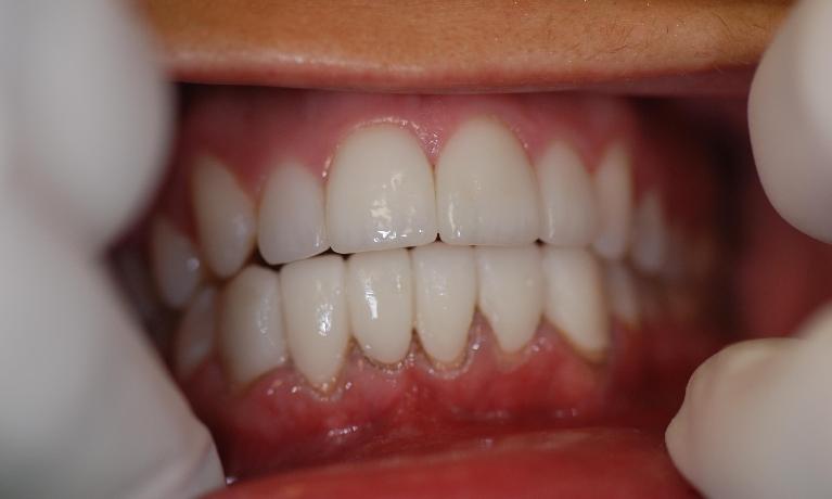
Dental Veneers
Drs. McKnight and Konz find the most immediate, dramatic impact on a client’s overall appearance is by placing veneers. Helping our patients visualize the improvements in color, position, and shape that are possible and delivering that beautiful result in a matter of a few weeks makes this facet of our job very rewarding.
What Is a Veneer?
A veneer covers the front surface of a tooth and is typically made from either ceramic or tooth-colored filling material. Depending on the material, it is either accomplished in our Leawood dental office or done over a period of two weeks in partnership with a dental laboratory.
 office or done over a period of two weeks in partnership with a dental laboratory.
Ceramic Veneers VS Composite Veneers
The major difference between the types of materials used in a veneer is longevity. A ceramic veneer is designed to last 20-25 years if the patient cares for it properly. Our dental lab fabricates each veneer and mimics the natural shading and luster of a natural tooth.
Our dentists create composite veneers using tooth-colored filling material and shaped by hand in the office by Drs. McKnight and Konz. We polish it to a smooth finish, but composite loses its surface shine over time and require replacement every 3-5 years.
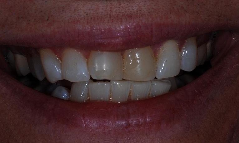
Why Our Patients Love Veneers
Our clients come to us inquiring about veneers with many unique concerns, most commonly:
- Discolored teeth
- Chipped teeth
- Unappealing spacing
- Crowding
- Heavy wear
The Difference between Veneers and Crowns
The primary difference between a veneer and a crown is the amount of tooth structure that our dentists remove to adequately prepare for the restoration. Typically a veneer covers the front surface, just wrapping around the edge and preserves the enamel on the backside of the tooth. A crown encircles the tooth 360 degrees for strength and support.
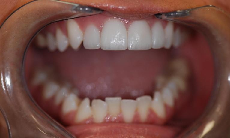
The Dental Veneer Process
Our main goal when we recommend veneers is to make sure our patients have a beautiful smile that feels comfortable. The first and most important step is to schedule a consult to thoroughly discuss the patient’s complaints and goals for improvement.
Once Dr. McKnight and Konz have a good understanding of their needs, our dentists digitally scan the patient’s mouth and ask the laboratory to sculpt practice veneers out of wax. Looking at the “wax-up” side-by-side enables both the doctor and client to see what changes are possible.
During the procedure, which requires about two hours, our dentists create temporaries that replicate the shape of the wax-up, giving the patient the opportunity to “try out” the final result before created by our lab. Two weeks later, our dentists will permanently bond the ceramic veneers.
Does Your Smile Need a Makeover?
Improving a client’s smile changes their whole outlook on life and the way the world sees them. Give us a call to see how we can help you restore your teeth back to their natural beauty with dental veneers.
 
 
 
