McKnight Signature Dental
Boutique-Style Dentistry in Leawood, KS

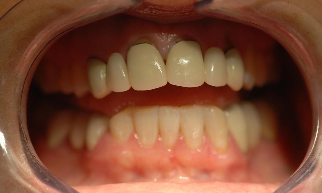
Porcelain Crowns

This is a long-time patient in our practice that had porcelain fused to metal crowns placed on her front teeth in her youth. Over time her gums receded and her teeth wore, leaving her with dark crown margins and uneven edges. We were able to replace her old crowns with ceramic crowns to restore them to natural beauty and evenness.

Related Services:

Dental Crowns
Improve your smile today – call to schedule a consultation!
If you have difficulty using our website, please email us or call us at (913) 948-9710