McKnight Signature Dental
Boutique-Style Dentistry in Leawood, KS

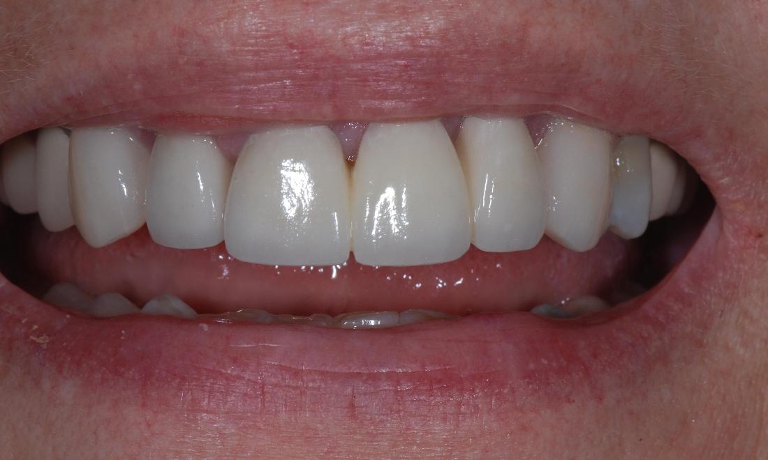
Porcelain Fused to Metal Crowns

In this case, decay was present at the margins of our patient’s old porcelain fused to metal crowns. She was displeased with the unevenness of the length of her teeth at the gumline. After a minor surgical gum procedure, new porcelain fused to metal crowns were done to protect and reestablish normal shape and shade to her smile.

Related Services:

Dental Crowns
Improve your smile today – call to schedule a consultation!
If you have difficulty using our website, please email us or call us at (913) 948-9710