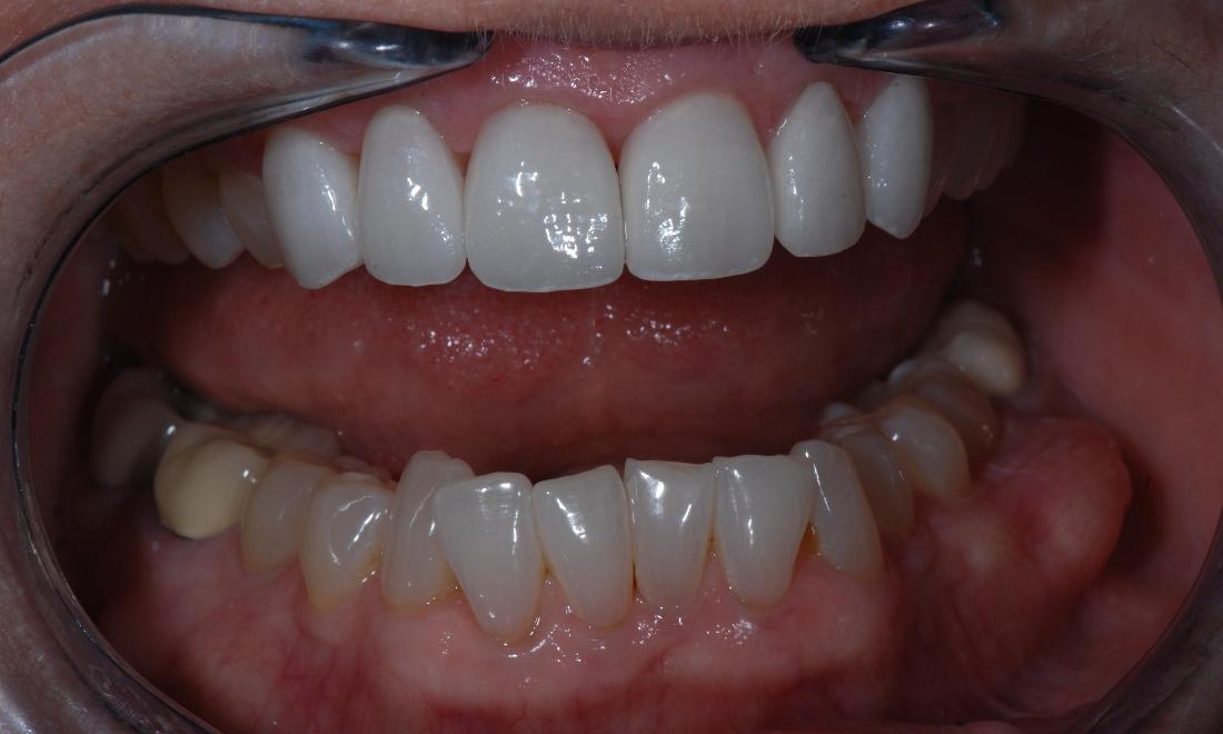
This patient had old composite veneers that were staining and chipping, resulting in an irregular look to her front teeth. We removed the old materials and replaced them with ceramic veneers that would last decades longer and be more esthetic.
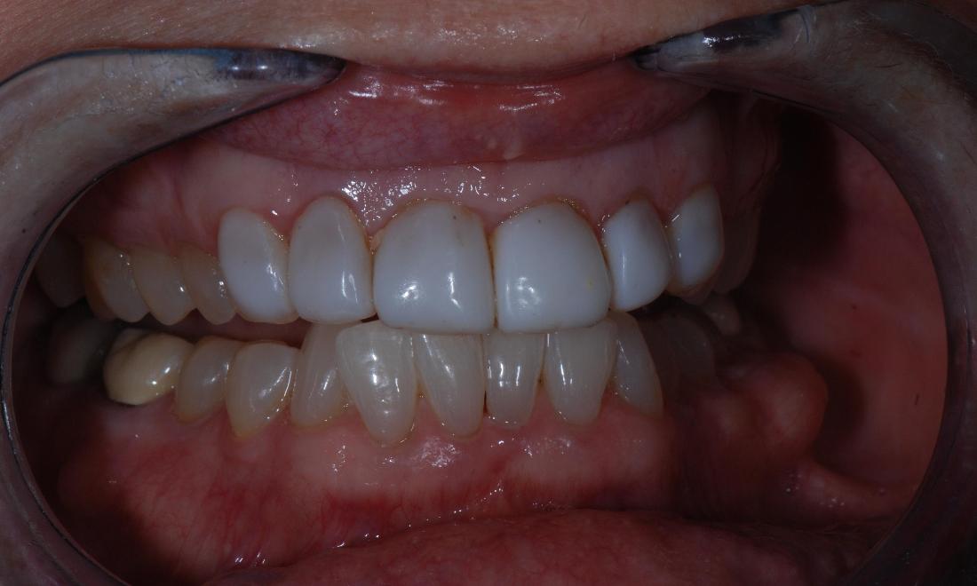
This patient had old composite veneers that were staining and chipping, resulting in an irregular look to her front teeth. We removed the old materials and replaced them with ceramic veneers that would last decades longer and be more esthetic.